Orthodontiste - Gassin dans le Golfe de Saint Tropez
Cabinet d'orthodontie du Dr Delphine BERENGUIER - SELARL DR BERENGUIER
Orthodontiste - Gassin dans le Golfe de Saint Tropez
Cabinet d'orthodontie du Dr Delphine BERENGUIER - SELARL DR BERENGUIER

Route dépatementale 559 Espace Santé lot 5
83580 GASSIN

Blog - Page 3

Orthodontie fonctionnelle précoce

Orthodontie fonctionnelle précoce

Avant 6 - 7 ans, les traitements sont rares. Mais un décalage important des mâchoires peut être pris en charge dès 4 – 5 ans.

Les concentrations en fluor des eaux minérales

Les concentrations en fluor des eaux minérales

La quantité de fluor présente dans les eaux minérales est très variable et il est important pour vous de bien la connaître.

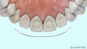
Fil de contention

Fil de contention

Contention de Hawley

Contention de Hawley

Orthodontie : idées reçues, idées revues

Orthodontie : idées reçues, idées revues

L'orthodontie : une affaire de spécialistes

L'orthodontie : une affaire de spécialistes

Affichage des articles 13-18 sur 96

Création par Webdentiste

Connexion